関節鏡視下手術 高齢者・スポーツ選手の膝痛の80%は 関節鏡視下手術で改善できます ※残り%は切開術(骨切り術・人工関節置換術など)が必要です。 関節鏡視下手術とは 膝を切り開かずに超小型のカメラを挿入して行う手術です。30分程度で終わりこのほか、骨軟骨損傷、関節内遊離体(関節ネズミ)、膝蓋骨脱臼・亜脱臼など幅広い症例に対する治療も行なっています。 外傷も多く扱っており、膝関節内骨折症例などに対して関節鏡を併用した手術も積極的に行なっています。(記載 平松智裕) 股関節 慈恵医大整形外科では股関節外科�関節遊離体 loose body of the joint は生体組織由来の関節腔内遊離体の総称で、関節ネズミ(英:joint mouse、独:Gelenkmaus)ともいう。遊離体は米粒状で、中心部に石灰沈着、骨化を生じることがある。野球肘、ゴルフ肘、テニス肘が進行した場合には、肘関節ネズミが見られる。この他、関節遊離
離断性骨軟骨炎
関節 ねずみ 膝 手術 ブログ
関節 ねずみ 膝 手術 ブログ-1321 · 関節ねずみとは、関節内に出来た骨の破片のことを言います。 関節ねずみとは俗称で、正式名称は 「関節遊離体」「遊離軟骨」「関節内遊離体」 などと呼ばれます。野球肘の外側型(「 離断性骨軟骨炎 」)や膝関節で 離断性骨軟骨炎 を生じて軟骨がはがれ落ちて関節ネズミになり、手術で1個からかなり多くの関節ネズミが摘出されることがあります。


関節ネズミ
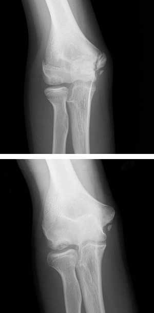
この病気は、 関節内に骨や軟骨のかけらが見られる病気 で、浮遊するチョロチョロとした小さなかけらをねずみに例え、この病名がつきました。 関節ねずみは、別名 「関節内浮遊体」( Joint loose body)ともいいます。0107 · 摘出した関節遊離体 摘出した関節遊離体(ねずみ)の画像はこれ。 1cmにも満たない小さな(骨片)ネズミだった。 こんなのが肘にあるだけでロッキングやら投球時の痛みを誘発する。 術後の痛み 当日の麻酔が切れた後(夕方)頃が一番痛い。関節ねずみとは 最初に関節ねずみについて、説明します。関節ねずみとは呼び名のようなもので正式名称は 「関節内遊離体(かんせつないゆうりたい)」 といいます。 なぜ、関節ねずみとよばれるのかと言いますと、この病気は 関節の中に、軟骨や骨のカケラ(小骨片)が発生すること に
肘の外側の骨と軟骨が壊死する。はがれ落ちると、関節内を移動する関節ネズミになる。 投球 野球 肘 上腕骨外側 上顆炎 じょうかえん (テニス肘) 肘の外側の筋肉付着部に過度のけん引力が働いて炎症が起こる ストローク テニス 膝 オスグッド・シュラッター病 軟骨と骨の境目に小さみなさんは、遊離軟骨という病気を知っていますか? 別名、『関節ねずみ』とも呼ばれ、スポーツをしている人やスポーツファン、とくに野球ファンであれば聞きなれた名前だと思います。 この遊離軟骨(関節ねずみ)については、手術をす関節遊離体とは、関節の中にはく離した骨が存在する状態を指す言葉です。 別の呼び方としては、関節ねずみなどと言うことがあります。 これは、いろいろな関節で発生する可能性があります。 一般的には、指やひじなどの関節に多く見られると考えられています。 これが発生する原因としては、激しいスポーツを行ったりして骨がはく離してしまうことが考え
半月板損傷に似た膝の痛みを出すものに「関節ネズミ」や「関節軟骨損傷」があります。 関節ネズミ ときどき関節の中ではさまって激痛を起こします。 注射では治らないので、内視鏡で取り除きます。 関節軟骨損傷 運動すると腫れて痛みが出ます。 · point 関節内遊離体(関節ねずみ)とは 関節内に本来ないはずの軟骨や骨のかけらがある状態です。肘や膝などの関節内で生じます。関節ねずみと呼ばれることもあり、野球やテニス、バスケットボールの競技者に多い傾向にあります。関節内遊離体の人は、痛みや肘の動かしにくさなどの症状が現れます。疑われる人は画像検査(レントゲン検査やmri検査)や関節鏡最近ではソフトバンクの今宮健太が「関節ネズミ」を除去するためにヒジのクリーニング手術を受けている。 また、ルーキーでも中日の小笠原慎之介がヒジのクリーニング手術をシーズン前に受けている。 なぜこれほどまでにもヒジに障害が集中するのか ボールを投げる動作は人体の動きとし


膝関節多発性骨軟骨腫 関節ねずみ ならぬ 関節うさぎ 稲毛整形外科


野球肘の治療について 日本鋼管病院 こうかんクリニック 川崎市川崎区
「 関節腔内に遊離する固形小体をいう・・ 」 となっています。 先ずは一般的な「関節」の構造について お話ししましょう! 2つ、または複数の骨で構成される 「蝶番」です。 関節を作る骨のうち、凸側を「関節頭」 凹側を「関節窩」と呼びます。関節内遊離体(関節ネズミ) 投げ過ぎが原因といわれていますが、肘に負担のかかりやすい投球ホームで投げていると投げすぎなくとも週末しか練習していなくても、肘が痛くなることがあります。 ひどくなると関節が腫れて水が溜まり、肘の曲げ伸ばしに制限が生じる場合もあります。 内側型野球肘の代表として肘関節・ 内側側副靱帯損傷(MCL損傷) が挙げ関節鏡システムを使用した膝関節疾患治療(半月板損傷・変形性関節症・関節ネズミ・関節 リウマチの滑膜切除など)と肘・肩関節疾患治療 腫瘍切除など。 簡単な手術は当院で行います。全身麻酔や特殊な機械が必要な日帰り手術は関連施設(ちよだクリニック:白井市)の手術室を使用して


大谷の 関節ネズミ 発見情報に米メディアが辛辣バッシング ny紙強烈 獲らなくてよかった 1 3ページ Zakzak


カラダの中にネズミがいる 美作市スポーツ医療看護専門学校


野球肘 やきゅうひじ 診療科 診療センター 名鉄病院


関節ネズミ


半月板損傷と関節ねずみ 京都 西大路七条整体 なかやま鍼灸整体院


こまっちゅう患者さん 関節ねずみ もりもと整形外科 内科


関節ねずみ 関節内遊離体 大船の整体は 中野プロポーション整体院


こまっちゅう患者さん 関節ねずみ もりもと整形外科 内科


変形性関節症 脊椎症 猫の病気 動物の病気 あいむ動物病院 西船橋


肘離断性骨軟骨炎 稲毛整形外科


スポーツ整形 整形外科 リハビリテーション科 リウマチ科 スポーツ整形


肘関節疾患 錦野クリニック 藤枝市の整形外科 消化器外科 肛門外科 内科


関節ねずみ 白河夜舟


足離断性骨軟骨炎 稲毛整形外科


山本 重吉 先生 中高年の膝痛の原因は 第163回 筋力があれば 膝の痛みも軽くなる人工膝関節にもいろいろなタイプが 人工関節ドットコム


関節遊離体 関節ネズミ について 所沢市南住吉の所沢接骨院


ドクター千賀 肘の痛み


整形外科について 社会医療法人友愛会 友愛医療センター


変形性膝関節症


関節鏡検査 ypc東京動物整形外科病院 整形外科 神経外科 動物病院


膝 関節痛 の原因 対策について Part3 イクメンパパのビジネス評論ブログ


柳生伸也 公式ブログ 関節ネズミ Gree


膝関節外科 整形外科 呉医療センター中国がんセンター 広島県呉市 病院


原因と症状 治療法


スポーツ整形 整形外科 リハビリテーション科 リウマチ科 スポーツ整形


丸藤 正道 閲覧注意 手術終わってようやくちょっと落ち着いたのでw 当初の予定では膝の軟骨 関節ネズミ を取る予定でしたが悪さしてたのは剥がれた半月板だったようでそいつを取りました イカみたいですねw Noah Ghc 丸藤見たけりゃnoahに来い


関節ねずみって何 変形性膝関節症との違いは


足首の奥が痛む 距骨離断性骨軟骨炎 よくある症状 疾患 札幌スポーツクリニック 札幌市中央区の整形外科 内科 リハビリ科


ネズミ駆除 やまみやけいいちろう日記


ねずみ 焼き鳥 床島のブログ


膝の手術 院長ブログ


ドクター千賀 肘の痛み


肘離断性骨軟骨炎 長野整形外科クリニック


関節ねずみ 離断性骨軟骨炎 スポーツ医学 カイロプラクティック研究所


原因と症状 治療法


次世代prp療法のご案内 井上整形外科 大阪市城東区 日帰り関節鏡手術 半月板損傷 軟骨損傷


肘関節遊離体摘出 変形性肘関節症 Afghan Diary


肘関節疾患に対する治療 特色ある治療 サービス 医療法人社団英志会 富士整形外科病院 静岡県富士市


生まれて 初めての 入院 膝の手術 関節ねずみ おじょもの山のぼり Ohara98jp Gmail Com


野球肘


整骨院行ってきました Masshiのトレログ


野球肘 やきゅうひじ 診療科 診療センター 名鉄病院


野球肘 離断性骨軟骨炎 スポーツ医学科の主な疾患と治療方法 江戸川病院


関節遊離体 Instagram Posts Gramho Com


整形外科の病気 高岡整志会病院 富山県高岡市


離断性骨軟骨炎


足関節前方インピンジメント症候群 足首の前が詰まってしゃがめない 古東整形外科 リウマチ科


膝関節 更新日 18年12月1日 文責 膝肩班 医師 平岩秀樹 名古屋大学大学院医学系研究科 総合医学専攻 運動 形態外科学 整形外科学 リウマチ学


関節ねずみ


今年のえと ねずみ 身近な所でみ つけた 東京新聞 Tokyo Web


関節内遊離体 岡崎の肩腰痛治療の達人 岡崎北ハピネス接骨院 鈴木 智也


関節ねずみ


肘のスポーツ障害に対する肘関節鏡手術 黒部市民病院


関節ねずみ って何 湘南針灸接骨院


膝の痛みについて 井上整形外科 大阪市城東区 日帰り関節鏡手術 半月板損傷 軟骨損傷


関節ネズミやねん 大阪ええねん


離断性骨軟骨炎 整形外科 スポーツ診療科 順天堂医院


画像あり 関節ねずみ 関節内遊離体 とは 手術は必要


整形外科の病気 高岡整志会病院 富山県高岡市


離断性骨軟骨炎 Wikipedia


ドクター千賀 肘の痛み


関節鏡下関節鼠摘出手術 Letter From Flying Tiger


手 肘の関節障害 整形外科 脊椎外科 東京大学医学部附属病院


関節ねずみ Instagram Posts Gramho Com


肘関節疾患に対する治療 特色ある治療 サービス 医療法人社団英志会 富士整形外科病院 静岡県富士市


関節ねずみ アラフィフ爺 旧アラフォーオヤジ のなにわ日記


膝痛の原因は 加齢ではなくネズミの悪さらしいぞ まんちゃんの足の備忘録 まんちゃんブログ ガチなな奮闘記


関節ネズミ Knezumi On Myspace


肘関節外科 診療 部門 あさひ病院 愛知県春日井市


関節ねずみ Twitter પર હ શટ ગ


カンセツネズミがあらわれた もう まともにサーフィンできないの


10年付き添った アレ とお別れしました レッツブログ


飯島整形外科 ドクター飯島のスポーツ医学q A 外反母趾


整形外科 リウマチ科 神戸掖済会病院


手術話 足首の ネズミ 除去 靭帯修復手術 佐賀在住ランナーのランニングブログ 備忘録 楽天ブログ


1週間入院して関節遊離体と骨棘除去のための関節鏡手術を受けてきました 痛い写真あり


早めに見つけてあげて 猫の関節疾患 風の動物病院のブログ


4割が痛みを経験 野球少年を悩ます 野球肘 とは 深読み 読売新聞オンライン


離断性骨軟骨炎 関節ネズミ スポーツドクターsのざっくばらん


関節ネズミ プロレスラー武藤敬司の場合 趣味の整体


原因と症状 治療法


遊離軟骨が関節に入り込む ねずみ になり関節がロックました 要手術


知っておきたい整形外科の救急 下肢の障害 救急小冊子


関節ねずみ


生まれて 初めての 入院 膝の手術 関節ねずみ おじょもの山のぼり Ohara98jp Gmail Com


スポーツ傷害とは 千葉メディカルセンター スポーツ整形外科


膝の痛みについて 井上整形外科 大阪市城東区 日帰り関節鏡手術 半月板損傷 軟骨損傷


野球肘 やきゅうひじ 診療科 診療センター 名鉄病院


低侵襲手術 関節鏡視下手術 脊椎内視鏡 肩 股 膝の関節鏡 人工関節の低侵襲手術なら和歌山市吉田の角谷整形外科病院


野球肘 関節ネズミ除去 隣の芝生より青く


野球肘 やきゅうひじ 診療科 診療センター 名鉄病院


大阪市住吉区で膝の痛みを治すなら 整形外科月山クリニックへ


関節軟骨損傷の診断と治療 整形外科 受診案内 聖路加国際病院


ロードバイクと関節ねずみ Long Ride And Free Ride


変形性肘関節症 日本整形外科学会 症状 病気をしらべる


手 肘 指の痛み 公式 岡山市の名越整形外科


膝の痛みの原因となる 関節ねずみ 関節内遊離体 とは 特徴 症状 治療


関節ねずみちゃんの その後 凛として 一朶の雲を目指すなり


0 件のコメント:
コメントを投稿